
Trong nghiên cứu của Đại học Michigan, chân giả Power Knee của Össur được thử nghiệm với thuật toán điều khiển mới. Kết quả cho thấy khả năng đồng bộ gối tự nhiên, giảm rủi ro vấp ngã cùng áp lực lên chân thật, giúp người dùng vận động cả nhẹ và nặng đều cải thiện khả năng đi lại.

The study published in Food and Function found that consuming 40 grams of walnuts with dinner daily for eight weeks significantly increased evening melatonin levels, reduced sleep onset latency, and improved overall sleep quality and daytime alertness in young adults. While promising, the small sample and dietary controls warrant cautious interpretation.

A recent US study analyzed over 1.3 million adults and found that long-term exposure to the industrial solvent Trichloroethylene may raise Parkinson’s risk by 10% for the most exposed. The research underscores environmental factors in neurodegenerative disease and calls for stricter pollutant controls.

Nghiên cứu với hơn 60.000 người cho thấy mức độ đều đặn của giấc ngủ mỗi ngày dự báo nguy cơ tử vong do mọi nguyên nhân, ung thư và bệnh tim mạnh mẽ hơn cả tổng thời gian ngủ. Người duy trì giờ ngủ và thức dậy ổn định có thể giảm đáng kể nguy cơ tử vong.

Nghiên cứu cho thấy người tiêu dùng Mỹ tăng 61% lượng protein, đẩy giá trị ngành lên 114 tỷ USD. Các thương hiệu và chuyên gia khuyến khích đồ uống giàu protein, trong khi Consumer Reports cảnh báo ô nhiễm chì trong bột protein. Hướng dẫn chính phủ đề xuất 0,8g/kg trọng lượng và ưu tiên thực phẩm toàn phần.
Nghiên cứu hệ vi sinh của người siêu trăm tuổi María Branyas Morera cho thấy hệ vi sinh đa dạng tương tự người trẻ, giàu Bifidobacterium. Chế độ ăn gồm sữa chua hàng ngày và mô hình Địa Trung Hải cùng probiotic-prebiotic có thể hỗ trợ sức khỏe đường ruột, hệ miễn dịch và kéo dài tuổi thọ.

A new Mendelian randomization study published in the Journal of the National Cancer Institute examines how fat distribution in five body regions affects the risk of twelve obesity-related cancers. The research reveals that central, visceral, and liver fat raise specific cancer risks, while hip and thigh fat may offer protective effects against certain tumors.

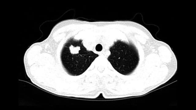
Phân tích dữ liệu sàng lọc CT phổi liều thấp ở 7295 cá nhân, bao gồm 814 người sống sót sau ung thư, ghi nhận tỷ lệ kết quả CT dương tính và xác suất phát hiện ung thư phổi, tử vong trong 5 năm tương tự nhóm không tiền sử ung thư. Tuy nhiên, số ca phát hiện ung thư phổi cao hơn ở nhóm sống sót.
Nghiên cứu mới cho thấy hai nhóm nấm ma thuật không liên quan đã tiến hóa độc lập với các con đường enzyme khác nhau để tổng hợp psilocybin. Phát hiện tiến hóa hội tụ này mở ra khả năng sản xuất hợp chất ảo giác trên quy mô lớn bền vững cho mục đích y tế, sử dụng enzyme tái sử dụng và điều kiện phản ứng nhẹ.
Trong nghiên cứu lâm sàng 12 tháng với hơn 800 bệnh nhân đau thắt lưng mãn tính, loại thuốc thử nghiệm chứa THC liều thấp của Vertanical cho thấy giảm đau đáng kể, cải thiện giấc ngủ và chức năng thể chất, đồng thời không gây phụ thuộc như opioid và có tác dụng phụ mức độ chấp nhận được.
Khảo sát RECOVER do NIH tài trợ phân tích hơn 460.000 trẻ em và thanh niên, cho thấy tái nhiễm COVID-19 làm tăng gấp đôi nguy cơ phát triển triệu chứng COVID kéo dài, bao gồm tổn thương tim, phổi, thận và mất vị giác, bất kể tình trạng tiêm chủng hay mức độ nghiêm trọng ban đầu.
Sau khi HHS dừng tài trợ, Bộ Quốc phòng Mỹ vẫn tiếp tục nghiên cứu vắc-xin mRNA để bảo vệ quân đội và sẵn sàng ứng phó đại dịch. Các dự án chống CCHF, cúm gia cầm và virus Marburg nhận khoản đầu tư từ JPEO, DTRA và Bộ Nông nghiệp dù nhiều chương trình khác bị cắt giảm.

Sau khi được chẩn đoán ung thư tuyến tiền liệt với mức PSA cao, Rick Steves nhanh chóng trải qua phẫu thuật cắt bỏ tuyến tiền liệt và hồi phục tốt. Ông kêu gọi nâng cao nhận thức về xét nghiệm PSA, chia sẻ tầm quan trọng của nghiên cứu ung thư và khuyến khích nam giới cởi mở về sức khỏe.
Bài viết xem xét nghiên cứu về tác dụng phòng ngừa sa sút trí tuệ của bốn loại vắc-xin: zona, RSV, Tdap và cúm. Nhiều nghiên cứu cho thấy tiêm chủng giúp giảm nguy cơ phát triển chứng sa sút trí tuệ và bệnh Alzheimer bằng cách ngăn ngừa các bệnh truyền nhiễm nghiêm trọng.

The US administration announced new federal funding to harness artificial intelligence for accelerating pediatric oncology research. The initiative commits $50 million to a data effort doubling previous support, aiming to analyze medical records, advance diagnostics, expedite trials and boost prevention amid broader science funding cuts.
Lời đe dọa áp thuế dược phẩm của Trump được xoa dịu sau thỏa thuận với Pfizer, cho phép công ty miễn thuế trong ba năm khi đầu tư 70 tỷ USD vào sản xuất và nghiên cứu tại Mỹ. Thỏa thuận này khuyến khích các nhà sản xuất khác chốt hiệp ước tương tự để giảm thiểu rủi ro thuế quan.

Trà xanh chứa nhiều chất chống oxy hóa và caffeine có thể bảo vệ nang tóc khỏi tổn thương, giảm viêm và kích thích mọc tóc. Bạn có thể uống hai đến ba cốc mỗi ngày, thoa trực tiếp lên da đầu hoặc dùng thực phẩm bổ sung. Luôn duy trì mức độ tiêu thụ vừa phải và tham khảo ý kiến chuyên gia y tế trước khi sử dụng.

Những trường hợp trẻ sơ sinh nặng trên 4kg không hiếm, chiếm khoảng 9–10% ca sinh. Thai sinh to có thể gây biến chứng trong và sau sinh như khó sinh, phải can thiệp forceps hoặc mổ lấy thai. Yếu tố di truyền, thai quá ngày, tiểu đường thai kỳ và cân nặng mẹ đóng vai trò quan trọng.
Nghiên cứu mới chỉ ra tế bào T CD8⁺ có khả năng duy trì hoạt động tiêu diệt khối u nhờ chuyển sang chuyển hóa axit béo. Đột phá khác là vaccine hạt nano với “siêu chất phụ gia”, bảo vệ chuột trước nhiều loại ung thư, khơi dậy miễn dịch ghi nhớ toàn thân và ngăn ngừa di căn.

Ước tính mới cho thấy 54.600 trẻ dưới 5 tuổi ở Gaza bị suy dinh dưỡng cấp tính, gồm hơn 12.800 trường hợp nặng, do các đợt phong tỏa và hạn chế viện trợ nhân đạo. Nghiên cứu đăng trên The Lancet cảnh báo trẻ suy dinh dưỡng nặng khó hồi phục khi hệ thống y tế bị tàn phá.